Orthodontics is a branch of dentistry that specializes in teeth alignment by Dental Braces and Aligners. Are you seeking the expertise of a skilled Orthodontist in Ashok Vihar to address your teeth alignment concerns? Look no further than Arora's Dental Clinic, a renowned establishment dedicated to providing exceptional Dental Braces Treatment in Ashok Vihar,Delhi and convenient for patients in nearby areas like Shalimar Bagh and Model Town. With years of experience and a commitment to delivering optimal results, our Dental Braces Specialist is here to assist you in achieving a beautiful, straight smile. Arora's Dental Clinic, your trusted Dental Braces Clinic In Ashok Vihar has garnered a reputation as a leading Teeth Braces Clinic in North Delhi. We understand that every patient is unique, and their orthodontic needs may vary. Our clinic offers a comprehensive range of braces treatments tailored to individual requirements.
Importance of Braces Treatment
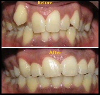
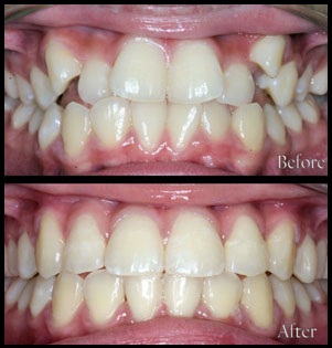
Teeth misalignment can occur due to various factors, such as insufficient space in the jaws or irregularities in tooth positioning. This can result in common issues like crooked teeth, protrusion, cross bite, deep bite, or spacing between teeth. In these types of cases, the patient is advised Dental Braces Treatment done by a Braces Specialist. If the teeth are not straight, crooked, or out of place, it will naturally affect the way a person chews and talks and how the smile looks. Because they have unnatural spaces, crooked teeth are difficult to clean and are more likely to have cavities. This would probably be the reason for their poor esthetics and eating and speech disorders. Besides, it is easier to brush and clean teeth that are straight. Well aligned teeth can do wonders for your self-confidence and self-esteem . Braces treatment plays a vital role in addressing these concerns effectively. By applying gradual and carefully planned forces on the teeth, braces can align them to their desired positions, improving both aesthetics and functionality. Generally Orthodontic patients are recalled every month for Braces and Wire adjustment hence convenient for Braces Patients to commute from nearby localities of Model Town & Shalimar Bagh.
TYPES OF BRACES TREATMENT AVAILABLE:
At Arora's Dental Clinic, we understand that different patients may have specific requirements when it comes to braces treatment. Therefore, in addition to Invisalign Aligners and tooth-colored braces, the Dental Braces Specialist offers various other types of braces:
- Metal braces : These are the traditional and most common type of braces. The metal braces that are used by our Dental Braces Specialist are much more comfortable and smaller in size. These require elastics that generally come in a variety of colours to tie the wire perfectly to the braces. The wires move teeth more quickly and less painfully. There is no such age limit attached to these, as patients of all ages can opt to straighten their teeth using metal braces. We use Damon Braces as well as Self Ligating Braces.
- Ceramic braces : They are Tooth Colored Braces with clear or tooth colored brackets. Ceramic Braces Treatment blends seamlessly with the natural color of your teeth, making them less noticeable. The shape and size are just the same as metal braces and as a result, are more preferred by older teenagers and adults who might have aesthetic or physical concerns. Many times, even the wires used are of tooth color, which makes them less noticeable. Our Dental Braces Specialist is widely doing Ceramic Braces Treatment in Ashok Vihar. Contact us for Ceramic Braces Treatment if you are searching for Invisible Braces Treatment in Ashok Vihar. Dental Braces Treatment Charges for Ceramic Braces are more than Metal Braces. Using ceramic braces instead of metal ones Arora's Dental Clinic is well-equipped to provide tooth-colored braces, ensuring that you can enjoy the benefits of braces treatment while maintaining your confidence throughout the process.

- Invisalign Aligners : These transparent, flexible, medical-grade plastic aligners fit snugly over the teeth, exerting gentle forces to guide them into their ideal positions. Unlike traditional metal braces, Invisalign Aligners are virtually invisible, allowing you to undergo treatment without feeling self-conscious. They are made in different sets and are to be worn sequentially. You can also remove them to eat, drink, brush and floss, and on special occasions. There are no restrictions and you can eat anything. Arora's Dental Clinic proudly offers this innovative treatment option to cater to patients diverse needs. Contact us for Teeth Alignment by Clear Aligners like Invisalign if you are searching for Invisible Braces Treatment in Ashok Vihar or around Shalimar Bagh or Model Town.

- Lingual braces : They are placed on the inner surface of the teeth, ensuring that they remain hidden from view. This makes them an ideal choice for individuals seeking a completely invisible braces treatment. Arora's Dental Clinic offers lingual braces to cater to patients desire for discreet orthodontic care. Contact us for Teeth Alignment by Lingual Braces which depends on case selection to be decided by our Orthodontist In Ashok Vihar.
- Self-Ligating Braces : They utilize a specialized mechanism that eliminates the need for elastic or metal ties, which means that the brackets have a built-in mechanism that holds the wire in place without elastic ties. These braces exert gentle pressure on the teeth, reducing discomfort and shortening treatment duration. With self-ligating braces, you can experience efficient and comfortable teeth alignment.
- Damon Braces : They employ a self-ligating system as well. These braces are designed to minimize friction and make adjustments easier, resulting in a more comfortable orthodontic experience. Damon braces are designed to be more comfortable than conventional braces, as they give lighter forces to move the teeth. Hence, patients experience less discomfort throughout the treatment process. In addition, Damon Braces require fewer adjustments than conventional braces, which makes them more convenient for busy patients. They are easier to clean because there are no elastic ties which reduces the risk of tooth decay and gum inflammation.