Kids oral health is most important because that is where their dental system starts growing and establishing. A Pedodontist or Pediatric Dentist is a Kids Dentist who is trained to practice Children Dentistry. Dr Dimple Arora, is the Pediatric Dentist in Ashok Vihar , Delhi and specializes in treating children with dental problems for fillings of cavities in children, painless extraction of over retained milk teeth if needed, space maintainers, treating oral habits by habit breaking appliances. She has vast experience in treating dental problems in children by Pulpotomy, Pulpectomy or Root Canal Treatment for kids with extra care. Her credibility is based on a tender loving & caring approach towards children during the treatment, which is why she is one of the Best Dentist For Children In Ashok Vihar in North Delhi and nearby areas like Shalimar Bagh and model town.
When your child is about a year old, it's time he or she sees Pediatric Dentist Dr Dimple Arora at Arora's Dental Clinic. Early visits can prevent minor problems from becoming major ones, and even though you are checking your child's teeth, you may not recognize a problem. Don't wait until there is a decayed or injured tooth to introduce your child to a dentist. Make the first visit a positive one.
By consulting our Pediatric Dentist In Delhi, you can know the status of your child’s teeth like milk teeth and permanent teeth eruption pattern, cavities and occlusion or the bite. The Pediatric Dentist will explain about different ages and sequence at which teeth erupt. Milk teeth erupt between 6 months to 33 months. Permanent Teeth erupt between 6 years to 13 years of age. Cavities even in milk teeth should be treated to avoid dental pain in future. The way that upper and lower teeth meet should be checked to avoid braces treatment in future.
At Arora's Dental Clinic, we are committed to making your child's first visit special and pleasant. Here we provide specialized dental care for children in a child-friendly atmosphere. Our proficiently expert, caring, and the compassionate Child Specialist Dentist takes wonderful care of your child's teeth while keeping them calm. A child's behaviour plays a significant role in the first dental visit. Apart from that, we will be teaching you and your child how to take the best care for their teeth, advice on eating habits, and the right oral hygiene methods. We also offer early diagnosis, even for children with milk teeth, for any possibilities of future teeth mal-alignment.
Baby Bottle Tooth Decay is caused by frequent exposure of a child’s teeth for long periods of time to liquid containing sugars. Especially when your baby falls asleep with a bottle containing formula, milk or juice. The liquid pools around the front ar or other sugars to acid, which causes the decay.
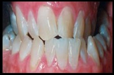
By the time tooth decay is noticed it may be too late and crowns, pulp therapy, or even extraction of the decayed teeth may be necessary. As a result, your child may have crooked or crowded teeth, and poor oral health.
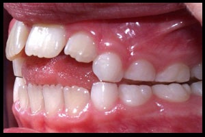
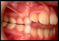
It is a natural occurrence for many babies and new-borns and they derive satisfaction from it. During the first year of life, thumbsucking should not be discouraged. If thumbsucking continues beyond four to five years of age, consult Dr. Dimple Arora, Pediatric Dentist in Delhi If the habit is allowed to continue, it can lead to crooked teeth.
It is a natural occurrence for many babies and new-borns and they derive satisfaction from it. During the first year of life, thumbsucking should not be discouraged. If thumbsucking continues beyond four to five years of age, consult Dr. Dimple Arora, Pediatric Dentist in Delhi If the habit is allowed to continue, it can lead to crooked teeth.





