
Welcome to Arora's Dental Clinic, your premier destination as Dental Implant Clinic in Ashok Vihar. If you are seeking a Dental Implant Surgeon or Implantologist, look no further. We specialize in restoring missing teeth through the placement of biocompatible titanium screw-like structures known as dental implants. The procedure involves the precise placement of titanium screw-like implants in the jawbone, which fuse with the bone to provide stability and durability. Over these implants, artificial teeth are securely fixed, resembling natural teeth and restoring your ability to chew effectively.
Arora’s Dental Clinic has been credited with successful Dental Implant Treatment and is very well known as one of the Best Dental Implant Clinic in Ashok Vihar in North Delhi and nearby areas like Shalimar Bagh and Model Town. With all such exquisite specialties, our clinic possesses, we assure you painless Dental Implant Treatment with a purpose and good esthetics.
At our clinic, the Implant Dentist offers both single tooth implantation and full mouth Dental Implant Treatment. Our skilled Dental Implant Surgeon in Ashok Vihar is experienced in performing advanced dental implant surgeries, including bone augmentation and grafting procedures to address deficient jaw bone conditions and restore lost bone volume. By placing five to six implants in a single jaw, we create a solid foundation for a hybrid denture, dental bridge, or dental crowns, resulting in a natural-looking smile and fully functional set of teeth. We utilize top-quality implant brands such as Nobel Biocare, Osstem, Dentium, and Straumann to ensure optimal results.
We assure you complete satisfaction as we are a team of Dental Implant Surgeon, Implantologist and a Prosthodontist for Teeth Fixing by Implants, serving our patients with missing & broken teeth in and around Shalimar Bagh and Model Town areas since 20 years. Book your appointments at Arora’s Dental Implant Clinic if you are in search of a Dentist For Implants near Model Town or Shalimar bagh areas for getting your missing or broken teeth by Dental Implant Treatment.

Our clinic is centrally located in North Delhi with nearby areas being Shalimar Bagh, Model Town, Keshav Puram, Shastri Nagar & Kamla Nagar.
There are all types of Dental Implant Treatment options available at our Dental Implant Clinic section. Conventional or immediate implants may be followed by immediate loading of crowns and bridges known as immediate loaded implants.
Conventional Implants :
Immediate Implants :
Immediate Loaded Implants :
The type of dental implants selected will be dependent on the patients' specific needs and general dental condition. A panoramic x-ray and/or CT scan is usually required to evaluate the amount of bone, determine the space available and for a thorough examination to diagnosing the options best suited for each case.
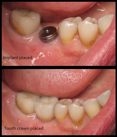
Teeth Fixing by Implants from single tooth to multiple teeth to full mouth Fixed Teeth are done by our team of Dental Implant Surgeon, Implantologist and a Prosthodontist at our clinic.
The single tooth implant restoration consists of three parts. Namely, the implant post which replaces the tooth root, the abutment which will support the crown and the prosthetic crown itself. The crown is either cemented onto the abutment or held in place with a screw. A single tooth implant with crown is one of the best permanent restorations. And more importantly, it does not require cutting your adjacent healthy teeth for bridging.



If multiple teeth are missing in different parts of the mouth, several single tooth implants are good replacement restorations. If multiple teeth are missing within the same region, several missing teeth can sometimes be replaced with fewer implants because dental implants are stronger than the natural tooth roots. These are called Implant Supported Bridges.

Case 1

Case 2

Case 3

Case 4

We strongly believe that all our patients deserve fixed teeth so we do not give any option of removable dentures supported on implants. When all teeth are missing or in a condition that all teeth need to be replaced, there is a need for full arch implant reconstructions. Multiple implants are placed and implant supported fixed porcelain bridges are made.
In patients without any teeth, depending upon jawbone conditions and appearance of the patient, 4 - 6 equally spaced implants are placed in jawbone and a fixed denture / hybrid denture is made.


Case 1

Case 2
